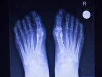
外反母趾の治療と改善方法
足のつけ根に痛みがともなう外反母趾は、早めの対策が改善につながります。ここでは、外反母趾の病院での治療法や、自宅でできるセルフケア、マッサージなどについて、ドクター監修のもと解説します。
スキンケア基礎講座
- スキンケア基礎講座
- アロマテラピー
- クレンジング
- サプリメントの基礎
- サプリメントを学ぶ
- スカルプケア
- スキンケアの基本
- ヘア・髪の知識
- ボディケア
- 妊娠・出産・産後の肌
- 心とスキンケア
- 更年期のスキンケア
- 産後の肌とスキンケア
- 美容・美肌
- 美容によいとされる植物
- 美容成分の基礎知識
- 美白・抗酸化
- 美肌をつくる化粧品の基本
- 美顔器を使ったスキンケア
- 肌と女性ホルモン
- 赤ちゃんのスキンケア
- 頭皮のケアについて
- メイク講座
- 悩み別講座
- アトピー性皮膚炎
- いぼ
- かゆみ・皮膚掻痒症
- シミ・そばかす
- シワ
- すそわきが
- その他の発疹・皮膚病
- たるみ・ほうれい線
- デリケートゾーン
- ニキビ・吹き出物
- ヘルペス
- ほくろ
- まつげのトラブル
- むくみ
- わきが
- 体臭
- 便秘・デトックス
- 傷・傷跡
- 冷え性
- 口内炎・口周辺のトラブル
- 多汗症
- 女性のお悩みボディケア
- 性病・性感染症
- 日焼け・紫外線対策
- 毛嚢炎
- 毛穴・角栓
- 水虫・皮膚真菌症(白癬)
- 汗・ニオイ
- 湿疹・皮膚炎
- 火傷(やけど)
- 生理痛・生理前の不調
- 白斑
- 目の周辺のトラブル
- 粉瘤(ふんりゅう)
- 糖質制限
- 美白・くすみ・目の下のくま
- 肉割れ
- 肌のハリ・ツヤ
- 脱毛・ムダ毛処理
- 花粉症
- 蕁麻疹(じんましん)
- 虫・害虫の皮膚トラブル
- 赤ら顔
- 靴擦れ
- 頭皮疾患・脱毛症
- 顔の傷
- 顔太り
- 用語集
- お肌&からだ・用語
- スキンケア・用語
- 化粧品・用語
- 美容成分・用語
- 男の美容講座
- お悩み&トラブル肌講座
- メンズスキンケア基礎講座
- 育毛
- 美容医療
- アンチエイジング
- くま・目の下のくま
- シミ(しみ)・肝斑
- しわ(注入治療)
- タトゥー(刺青)除去治療
- たるみ・ほうれい線治療
- ニキビ治療
- バスト・胸のお悩み
- ボトックスの治療
- わきが(ワキガ)のお悩み
- 二重手術
- 切らない脂肪吸引・部分痩せ治療
- 女性の増毛(植毛・ウィッグ)
- 脂肪吸引
- 赤ら顔・肌の赤み
- 鍼灸(しんきゅう)治療
- 肌タイプ別講座